对抗知识焦虑,从看懂这条开始
App 下载对抗知识焦虑,从看懂这条开始
App 下载
免疫标志物|精准医学|HER2靶点|CLDN18.2|胃癌|肿瘤学|医学健康
胃癌,一种在全球范围内高发、在东亚地区尤为沉重的恶性肿瘤,长期以来被视为消化道癌症中的“沉默杀手”。由于早期症状隐匿,多数患者确诊时已是中晚期,治疗的道路仿佛一条狭窄而崎岖的单行道,选择寥寥。传统的化疗如同无差别的“地毯式轰炸”,在杀伤癌细胞的同时,也对正常细胞造成了巨大损伤。
近年来,精准医学的浪潮为这条幽暗的道路点亮了零星的灯塔。HER2靶点的发现,让约12%的患者拥有了第一代“精确制导导弹”;PD-L1和MSI-H等免疫标志物的出现,则为部分患者解锁了调动自身免疫系统作战的新策略。然而,对于那些不携带这些标志物的绝大多数患者而言,他们依旧在迷雾中航行,迫切需要新的导航信号。
现在,一盏更亮、覆盖范围更广的灯塔已经升起,它的名字叫Claudin18.2(CLDN18.2)。
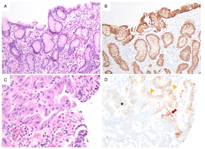
近期发表于《美国外科病理学杂志》(The American Journal of Surgical Pathology)的一项研究,为CLDN18.2的临床价值提供了坚实的证据。研究团队系统分析了145例胃及胃食管交界处腺癌患者的样本,结果令人振奋:
这项研究的意义远不止于数字。它清晰地表明,CLDN18.2并非现有靶点的简单补充,而是一个能够独立划分战场的关键坐标,它将胃癌治疗从“非黑即白”的单一靶点选择,推向了一个多元化、可组合的精准治疗新阶段。
CLDN18.2究竟是什么?我们可以将其比作一个“隐藏式门把手”。

在正常的胃黏膜细胞中,细胞与细胞之间像砖墙一样紧密排列,由一种名为“紧密连接”的结构牢牢锁住。CLDN18.2蛋白就深埋在这道“水泥墙”中,药物无法触及。然而,当细胞发生癌变,这种有序的结构被破坏,细胞变得松散混乱,“墙体”崩塌,原本隐藏的CLDN18.2蛋白便暴露在细胞表面,成为了一个可被精准识别和攻击的独特靶点。
这种“癌变后才暴露”的特性,赋予了CLDN18.2极高的特异性,使其成为开发靶向药物的理想目标——既能精确打击癌细胞,又能最大程度地避免误伤健康组织。
CLDN18.2的崛起,正在重塑胃癌治疗的战略版图,推动其从单一武器的对抗,演变为多兵种的联合作战。
先锋部队:单克隆抗体 全球首个获批的CLDN18.2靶向药物佐妥昔单抗(Zolbetuximab),就是一把精准的“信号枪”。它能特异性结合癌细胞表面的CLDN18.2,标记出“敌人”的位置,引导人体免疫系统发起攻击。在关键的SPOTLIGHT和GLOW两项全球III期临床研究中,佐妥昔单抗联合化疗,将CLDN18.2阳性晚期胃癌患者的中位总生存期最高提升至18.2个月,为一线治疗树立了新的标杆。
特种部队:抗体药物偶联物(ADC)

如果说单抗是“信号枪”,那么ADC药物就是“生物导弹”。它们由三部分组成:精确导航的抗体、连接臂,以及高杀伤性的化疗“弹头”。中国的研究者们在这一领域走在前沿,SHR-A1904、IBI343等多个国产ADC药物在临床试验中展现了强大的抗肿瘤活性,即使在多线治疗失败的患者中,客观缓解率也达到了惊人的30%以上。

这是一种更具颠覆性的“活体药物”。通过提取患者自身的免疫T细胞,在体外进行基因改造,为其装上能够识别CLDN18.2的“GPS导航系统”,再输回患者体内。这些被改造的“超级士兵”能自主在体内巡航、增殖,并精准猎杀癌细胞。中国的研究团队在该领域取得了世界瞩目的突破,其研发的CLDN18.2 CAR-T疗法(Satri-cel)在晚期胃癌患者中显示出显著的生存获益,为终末期患者带来了生命的奇迹。
新靶点和新药物的涌现,也带来了新的挑战。研究发现,约28%的CLDN18.2阳性病例存在肿瘤内异质性——即同一肿瘤内部,部分区域表达CLDN18.2,而另一部分则不表达。这意味着单点穿刺活检可能出现“盲人摸象”的偏差,导致假阴性结果。
为了应对这一挑战,精准的“战场侦察”变得至关重要。2025年,中国发布了首部《胃癌Claudin18.2临床检测专家共识》,从样本取材(建议多点活检)、检测平台到结果判读,都制定了标准化的“作战手册”。同时,人工智能(AI)辅助病理诊断等前沿技术也正在开发,未来或许能通过分析常规病理切片,直接预测CLDN18.2的表达情况,让诊断更智能、更可靠。
CLDN18.2的发现,标志着胃癌治疗思想的根本性转变。我们的目标不再是寻找一种通用的“万能药”,而是为每一位患者绘制一张独一无二的“生物标志物地图”,上面标注着HER2、PD-L1、MSI-H、CLDN18.2等所有潜在的攻击靶点。
基于这张地图,医生可以像一位战略家,灵活调配手中的武器库:对于HER2阳性的患者,使用抗HER2疗法;对于PD-L1高表达的,优先选择免疫疗法;而对于广大的CLDN18.2阳性人群,尤其是那些曾经无靶可用的“三阴性”患者,如今拥有了佐妥昔单抗、ADC、CAR-T等一系列强有力的精准武器。
胃癌治疗的漫漫长夜正被一盏盏新的灯塔照亮。从单一靶点到多元组合,从标准化方案到个体化定制,CLDN18.2的崛起正引领我们进入一个充满希望的精准治疗新纪元。在这场与癌症的终局之战中,我们正以前所未有的清晰度和精确度,为每一位生命绘制通往胜利的航线。